무지외반증 증상과 원인, 치료법
발은 제2의 심장이라 불릴 만큼 중요한 역할을 합니다. 늘 혹사당하는 우리의 발, 특히 여성들 사이에서 자주 발생하는 질병 중 하나가 바로 무지외반증입니다. 초기에 바로잡지 않으면 상태가 심각해질 수 있기 때문에 주의가 필요합니다. 무지외반증에 대해 알려드리겠습니다.



무지외반증이란?
엄지발가락이 두 번째 발가락 쪽으로 과도하게 휘고, 엄지발가락과 연결되는 중족골이 반대로 안쪽으로 기울어지며 발가락이 발등 쪽으로 휘거나 회전(엄지발가락 축을 중심으로 내측으로 회전; 회내)하는 삼차원적인 변형을 말합니다. 
무지외반증이 심해지면 엄지발가락이 두 번째 발가락과 겹치거나 관절이 탈구되어 전반적으로 발을 디디기 어려운 상태가 될 수 있습니다. 건강보험심사평가원의 무지외반증 환자 통계에 따르면, 40대 이상에서 가장 많이 발생하며, 여성 환자 비율이 남성보다 월등히 높다고 합니다.
무지외반증 원인
무지외반증 원인 ① 선천적인 원인
무지외반증의 원인 중 선천적인 경우는 주로 유전적인 이유로 발생합니다. 원발성 중족골 내전증이나 평발, 발볼이 유난히 넓은 경우, 과도하게 유연한 발일 때 잘 나타납니다. 특히 모계 유전 확률이 높아서, 어머니가 증상을 겪고 있다면 약 60~70%의 확률로 자녀에게도 증상이 나타날 수 있다고 합니다. 또한, 류마티스 관절염이나 통풍이 원인으로 작용할 수도 있습니다.



무지외반증 원인 ② 후천적인 원인
대개 무지외반증은 후천적인 이유로 발생합니다. 특히 굽이 높은 하이힐이나 발볼이 좁은 신발을 오래 신을 경우, 엄지발가락에 지속적이고 반복적인 압력이 가해져 발가락 변형이 일어나게 됩니다. 불편한 신발을 자주 신는 사람은 그렇지 않은 사람에 비해 무지외반증 발생 확률이 16배나 높다고 하니, 이를 예방하기 위해 편안한 신발을 착용하는 것이 좋습니다.
무지외반증 증상
육안으로 확연히 엄지발가락의 변형이 보이며, 초기에는 굳은살이 생기고 약간의 통증도 동반됩니다. 엄지발가락의 돌출 부위에 통증이 발생하는데, 이 부위가 신발에 자극을 받아 두꺼워지고 염증이 생겨 통증이 유발됩니다. 발바닥에 굳은살이 생기면 정상적인 보행이 어려워지고, 심한 경우에는 통증 때문에 신발 착용이나 정상적인 보행도 힘들어질 수 있습니다. 증상이 지속적으로 악화되면 엄지발가락이 겹치거나 탈구될 수도 있습니다. 
엄지발가락이 옆으로 휘어져 관절에 비정상적인 힘이 가해지면 퇴행성 관절염이 생길 수 있습니다. 또한, 엄지발가락이 발바닥의 압력을 2, 3번째 발가락으로 옮기면서 발바닥에 굳은살이 발생할 수 있고, 발가락 뼈 사이의 신경이 붓고 통증을 유발하는 지간신경종이 합병될 수 있습니다.



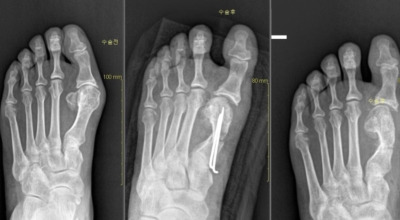
무지외반증 치료법
보존적 요법은 변형이 심하지 않은 경우 먼저 고려되는 치료법입니다. 굽이 높고 신발코가 뾰족한 신발은 피하고, 편안한 신발을 착용하여 발의 압박을 최소화합니다. 또한, 신발 안에 중족골 패드나 발가락 교정기 등 교정 도구를 사용하여 압력을 재분배하고 증상을 완화시킵니다. 만약 보존적 요법으로 증상이 완화되지 않거나 통증이 매우 심할 경우, 수술이 고려됩니다. 
초기 단계에서는 건막류(두꺼운 혹)를 절제하는 건막류절제술을 시행합니다. 돌출된 건막류를 절제하여 각도를 교정하고, 짧아진 근육이나 연부조직을 늘려주는 비교적 간단한 수술입니다. 다른 발가락의 변형이 동반되거나 뼈의 과잉 성장이 심한 경우에는 뼈를 깎고 방향을 돌린 뒤 발가락이 똑바로 펴지도록 철사로 고정하는 교정절골술을 시행합니다. 양쪽 발이 모두 변형된 경우, 대개 한 번에 한쪽만 수술합니다.
무지외반증 교정기
무지외반증 교정 보조기는 뼈의 변형이 상당히 진행된 상태에서는 단순히 교정기만으로 치료가 되지 않습니다. 개인의 사정이나 환경적인 요인으로 즉각적인 조치를 취할 수 없는 경우, 변형된 부분을 지연시키는 목적으로 사용될 수 있지만, 치료의 목적으로 활용하기에는 적합하지 않습니다.



무지외반증 완화 운동
발가락으로 물건 잡기
엄지발가락과 두 번째 발가락을 사용하여 작은 물건을 잡는 연습을 해보세요. 작은 공, 블록, 종이, 구슬 등 다양한 물건을 발가락으로 잡는 운동은 발가락의 인대를 강화해주어, 엄지발가락이 휘는 증상을 완화하는 데 도움이 됩니다.
발로 수건 말아쥐기 운동
수건만 있으면 가능한 간단한 운동입니다. 먼저 수건을 바닥에 넓게 펴고, 수건 끝부분을 뒤꿈치로 고정합니다. 그 후 발가락을 사용해 수건을 움켜잡고 당겨서 말아주세요. 이 운동은 발가락 근육을 강화하는 데 효과적입니다. 5번씩 3세트를 하는 것이 좋습니다.
발가락 벌리기 운동
발가락 사이에 고무줄을 끼우고 엄지발가락을 벌리는 연습을 해보세요. 처음에는 발가락을 벌리는 동작이 어려울 수 있지만 연습을 통해 발가락 근육에 힘이 생깁니다. 중요한 점은 엄지발가락이 벌어지는 것에 집중하는 것입니다. 발바닥에 힘을 주지 않도록 주의하면서 쥐가 나지 않게 하고, 꾸준히 연습하면 점차 개선될 것입니다.



무지외반증 예방법
발볼이 좁은 신발이나 굽이 높은 신발을 신는 시간이 길수록 무지외반증의 유병률이 더욱 높아지므로, 발가락 부위가 넓고 굽이 낮은 신발을 착용하는 것이 좋습니다. 평발인 경우에는 발바닥 안쪽을 지지해 주는 안창을 사용하는 것이 도움이 됩니다. 다만, 굽이 지나치게 낮은 신발은 충격을 완화하는 쿠션 역할을 제대로 하지 않기 때문에 피해야 하며, 자신의 발에 맞는 편안한 신발을 선택하여 피로도를 줄이는 것이 바람직합니다.
무지외반증에 대해 알아봤어요. 위 내용 바탕으로 건강에 항상 힘써보시기 바랄게요. 방문해 주셔서 감사드리겠습니다.