퇴행성 관절염은 삶의 질을 떨어뜨리는 대표적인 질환입니다. 퇴행성 관절염에 걸리면 통증이나 보행 불편을 초래하고, 계단 이용 시나 특정 자세를 취하기 힘들어져 일상생활이 힘들어지게 됩니다. 문제는 이러한 퇴행성 관절염은 초기 발견이 어렵다는 점입니다. 그래서 적절한 치료 시기를 놓치기 쉽습니다. 관절염은 초기에 증상을 인지하고 적절한 치료를 받으면 생활습관 개선만으로도 완화되기 때문에 퇴행성 관절염 초기증상에 대해 알아두는 것이 도움이 될 것이라 생각합니다.



퇴행성 관절염이란?
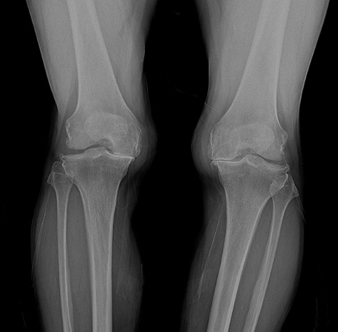
퇴행성관절염이란 관절을 보호하고 있는 연골의 점진적인 손상이나 퇴행성변화로 인해 관절을 이루고 있는 뼈와 인대 등에 손상이 일어나 통증과 염증이 생기는 질환입니다. 퇴행성 관절염은 주로 60~65세 이상 노인의 80%가 겪고 있는 아주 흔한 무릎 질환으로 최근에는 생활습관, 비만 등 여러가지 원인으로 젊은 층에서도 많이 발생하고 있습니다. 퇴행성 관절염에 걸리면 연골이 분해되면서 생기는 염증물질이 통증을 일으키게 되고 연골 파괴를 더 부추겨 관절 분해가 더 가속화되는 악순환이 발생합니다. 또한 연골이 분해되면서 관절 간격이 좁아지고 다리가 휘게 되는 내반 변형이 발생하면서 겉에서 보기에도 다리가 휘어 보이는 오다리가 생기는 부작용이 발생합니다.
퇴행성 관절염 초기증상
퇴행성 관절염 초기에는 쪼그려 앉았다가 설 때, 계단을 오르내릴 때 무릎이 시큰거리는 증상을 느낄 수 있습니다. 비교적 증상이 심하지 않은 퇴행성 관절염 초기에서는 연골 손상을 미리 파악하고 연골 성분을 무릎에 주입하거나 약물치료 및 운동치료 등의 보존적 치료로 증상이 회복될 수 있습니다.



퇴행성 관절염 중기증상
퇴행성 관절염 중기에서는 앉았다 일어날 때, 양반다리를 하거나 자세를 바꿀 때 무릎에 통증이 생기고 이유 없이 무릎이 붓는 증상이 나타납니다. 이러한 중기의 경우는 퇴행성 관절염 말기로 진행되는 것을 막는 가장 중요한 치료 시점이라고 볼 수 있습니다. 본격적으로 연골이 파괴되고 관절의 변형이 일어나는 단계로 이렇게 손상된 연골은 자연적으로는 재생이 거의 불가능하지만 관절경을 이용해 손상된 연골을 재생 치료하고 비틀어진 하지의 정렬을 바로잡아 말기로 진행되는 것을 막을 수 있습니다.



퇴행성 관절염 말기증상
퇴행성 관절염 말기에는 관절의 강직이 생겨 무릎이 다 펴지지 않거나 무릎을 구부릴 때 제한이 생길 수 있고 걸을 때 통증이 매우 심해지고 다리를 움직이지 않는 밤에도 통증이 심해 잠을 설치는 경우도 있습니다. 연골이 완전히 닳아 없어진 말기에는 인공관절수술을 해야 하는데, 인공관절수술은 말 그대로 인공으로 만든 관절을 끼워 넣는 수술로 손상된 연골 부분을 제거하고 그 위에 인공 관절을 삽입하는 수술입니다.
퇴행성 관절염 자가 진단법
퇴행성 관절염을 초기 발견하기 위해서 집에서 간단히 확인할 수 있는 자가 진단 리스트 항목을 살펴보는 것도 좋은 방법입니다. 0~1개 항목에 해당하면 관절 나이 20~30세로 상태가 좋다고 할 수 있고, 2~3개의 경우는 관절 나이 40세로 점검을 권하며, 4~5개는 퇴행성 관절염이 시작된 상태입니다. 6개 이상은 관절 나이 70세로 적극적인 치료가 반드시 필요합니다. 
1. 많이 걷고 나면 무릎이 2~3일 정도 아프다. 
2. 계단을 오르내릴 때 무릎에 통증이 있다.
3. 앉았다 일어섰다 하면 무릎이 아프다. 
4. 걷다가 서면 갑자기 무릎 힘이 빠지며 주저앉을 것 같다. 
5. 많이 걸으면 무릎이 붓게 된다.
6. 차렷 자세로 서면 무릎 사이가 주먹 하나 이상 들어갈 정도로 벌어진다. 
7. 다리 뻗고 앉으면 무릎 뒤쪽이 바닥에 닿지 않는다.



퇴행성 관절염 예방법
퇴행성 관절염 예방법으로는 정상 체중을 유지하는 것이 필수적입니다. 또한 무리한 동작의 반복, 좋지 않은 자세 등이 관절의 퇴행성 변화를 유발할 수 있으므로 주의하여야 합니다. 무리한 운동은 관절에 좋지 않지만 적당한 강도의 운동으로 근육을 강화하고 관절 운동 범위를 유지하는 것은 관절염 예방에 필수적인 요소입니다. 
관절염 초기 증상을 예방하기 위해서는 하루에 30분 정도는 가볍게 운동해 주는 것이 좋고 관절 사용이 적은 가볍게 걷기나 수영과 같은 운동으로 근력을 키우는 것이 좋습니다. 쪼그려 앉기처럼 관절을 많이 이용하는 운동의 경우에는 관절 손상을 빠르게 진행시킬 수 있으므로 주의하는 것이 좋고, 술과 담배는 끊는 것이 좋습니다. 술은 관절에 생긴 염증을 키우는 부작용을 일으키고 담배의 경우는 연골에 생긴 염증을 빠르게 악화시키고 관절과 뼈에 영향을 주기 때문입니다.



지금까지 퇴행성 관절염 초기증상에 대해서 자세히 알아보았습니다. 도움이 되셨기를 바랍니다. 읽어주셔서 감사합니다.
댓글