간은 소화관의 일부가 좁아져서 생긴 일종의 선(腺)입니다. 몸의 오른쪽에 약간 치우쳐 위치하며, 윗면은 횡격막과, 아랫면은 위, 십이지장, 횡행결장 등과 맞닿아 있습니다. 호르몬 대사, 해독, 살균 등 다양한 중요한 역할을 수행하고 있어요. 이번 포스팅에서는 간에 좋은 음식 10가지를 알아보겠습니다.

간이란?
성인의 간은 무게가 약 1.2kg 정도이며, 좌우 지름은 약 25cm, 앞뒤 지름은 약 14cm, 높이는 약 7cm 정도입니다. 이렇게 간의 크기를 정의할 수 있으며, 내부 구조는 일반적으로 ‘간소엽’이라는 단위 구조들이 모여 있는 것으로 간주합니다. 간소엽은 중심에 위치한 중심 정맥과, 여기에 모세혈관을 보내는 세 개의 소엽간 정맥으로 구성되어 있어요. 
소엽간 정맥은 문맥에서 갈라져 나온 가지 중 마지막 단계이며, 중심 정맥은 인접한 것들이 모여 여러 개의 간정맥을 이루고, 이 간정맥은 하대정맥으로 연결됩니다. 소엽간 정맥에서 나온 모세혈관 주위는 간세포들이 빼곡히 둘러싸고 있습니다.
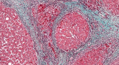
간수치가 높으면 나타나는 증상
1. 잇몸 출혈
간은 혈액 응고 인자를 만들어내는 역할을 하는데, 간 기능이 나빠지면 이를 제대로 생성하지 못합니다. 그로 인해 코피나 잇몸 출혈이 자주 발생하며, 혈액 응고가 원활하지 않아 잦은 출혈이 생길 수 있습니다.
2. 소화불량
간이 좋지 않으면 소화 기능이 떨어지게 됩니다. 소화가 잘되지 않으면 위에 음식이 머물게 되고, 이로 인해 가스가 차거나 더부룩함을 느낄 수 있어요.
3. 만성피로
우리 몸은 에너지를 필요로 하지만, 간 기능이 약해지면 소화가 잘 되지 않고 에너지 생성도 원활하지 않아 쉽게 피로를 느끼게 됩니다.






4. 잦은 감기
간 기능이 저하되면 해독 작용이 제대로 이루어지지 않습니다. 간은 노폐물 제거와 해독 기능을 담당하는데, 이 기능이 떨어지면 염증이 생기고 근육통이나 잦은 질병을 유발할 수 있어요.
5. 황달
간에서 생성되는 효소 중 하나인 담즙에는 '빌리루빈'이라는 색소가 포함되어 있습니다. 빌리루빈은 누런색을 띠는데, 간 기능이 나쁘면 이 성분이 몸 밖으로 제대로 배출되지 못하고 체내에 쌓이게 됩니다. 결국 소변으로 배출되면서 피부와 소변이 누렇게 변하는 황달 증상이 나타납니다.
간에 좋은 음식 10 가지
간에 좋은 음식 10 가지 ① 아보카도
‘숲속의 버터’라고 불리는 아보카도에는 간 건강에 도움이 되는 성분이 풍부하게 들어 있어요. 강력한 항산화 물질 중 하나인 글루타치온은 해독 작용을 도와주며, 불포화지방산과 함께 콜레스테롤 수치를 낮춰 간 건강에 긍정적인 영향을 줍니다. 
또한 지방 분해에도 도움을 줄 수 있어요. 이외에도 비타민 C, K, 엽산, 칼륨 등 다양한 영양소가 풍부해 간 건강뿐만 아니라 전반적인 신체 건강에도 이로운 작용을 합니다.
간에 좋은 음식 10 가지 ② 엉겅퀴
유럽에서는 면역력 증진, 피로 회복, 해독 작용의 효과가 입증된 엉겅퀴예요. 식약처에서도 인정한 천연 간 영양제로 불릴 만큼 간에 좋은 식품입니다. 엉겅퀴에는 '실리마린'이라는 성분이 풍부하게 들어 있는데, 이 성분은 강력한 항산화 및 항섬유화 작용을 통해 간세포막을 보호하고, 해로운 물질이 간세포에 침투하는 것을 막아줍니다. 또한 염증 발생을 억제하고 다양한 간 질환을 예방하는 데 도움을 주며, 알코올 분해 과정에서 생기는 아세트알데히드를 빠르게 제거해 간 기능 개선에 효과적이에요.






간에 좋은 음식 10 가지 ③ 사과
사과가 간 건강에 좋다는 사실은 아직 잘 알려지지 않았어요. 사과에 풍부한 식이섬유는 체지방 관리에 도움이 되고, 변비 완화에도 효과적입니다. 또한 사과에는 나쁜 콜레스테롤 수치를 낮춰주는 수용성 섬유질이 많고, 특히 ‘플라보노이드’라는 성분이 간의 해독 작용을 돕는 데 유익하다고 알려져 있어요. 
결국 사과는 간이 해독 기능을 원활히 수행할 수 있도록 도와주는 역할을 합니다. 다만, 사과는 껍질째 먹는 것이 좋지만, 깨끗이 씻은 후 드셔야 하고, 특히 꼭지와 밑부분의 움푹 파인 곳은 농약이 잘 제거되지 않을 수 있으니 피해서 섭취하는 게 좋아요.
간에 좋은 음식 10 가지 ④ 헛개나무
『본초강목』에 따르면 헛개나무는 숙취 해소에 효과가 있으며, 간 해독과 변비 개선에도 좋다고 전해집니다. 이러한 효능 덕분에 간에 좋은 10가지 식품 중 하나로 꼽힐 수 있어요. 흑삼차를 마시기 전후에 함께 마시면 숙취 해소에 도움이 되고, 간에 쌓인 독소를 해독해 간 기능 개선과 피로 회복에도 효과가 있습니다. 또한 헛개나무 열매 추출물은 간 기능 보완에 도움이 되는 건강기능식품의 기능성 원료로도 활용되고 있어요.
간에 좋은 음식 10 가지 ⑤ 커피
설탕이 첨가되지 않은 블랙커피에는 항산화 물질이 함유되어 있어, 콜라겐의 과도한 축적을 막고 나쁜 콜레스테롤 수치를 낮추는 데 도움이 됩니다. 또한 식후에 마시면 소화를 돕는 효과도 있어, 적당히 섭취하면 건강에 좋은 식품이에요. 
다만 커피를 과하게 마시면 카페인으로 인한 부작용이 생길 수 있으므로 과도한 섭취는 피하는 것이 좋습니다. 참고로 성인의 카페인 일일 권장량은 약 400mg이며, 시중 카페에서 판매되는 아메리카노 한 잔에는 평균 약 150mg의 카페인이 들어 있다고 해요.






간에 좋은 음식 10 가지 ⑥ 부추
‘간의 채소’라 불릴 만큼 부추는 간에 좋은 음식이에요. 부추는 허리와 무릎을 따뜻하게 해주고, 대소장을 보호하는 데도 도움이 됩니다. 한 연구에 따르면 부추를 장기간 섭취한 흰쥐의 경우, 간에서 활성산소인 하이드록실 라디칼이 73%, 피부에서는 79% 억제되었다고 해요. 이처럼 활성산소가 줄어들면 간 기능이 보다 원활하게 작동하므로, 부추는 간 건강에 좋은 식품이라 할 수 있습니다.
간에 좋은 음식 10 가지 ⑦ 마늘
마늘에 포함된 유황 성분은 간암을 효과적으로 억제하고, 알리신과 셀레늄은 간을 정화하는 데 도움을 줍니다. 마늘은 건강에 유익한 식품으로, 유황 성분 덕분에 간암 억제 효과가 탁월하다고 알려져 있어요. 또한 알리신은 간 정화에 도움을 주며, 비타민 B와 결합해 대사 작용을 촉진하고 몸의 해독과 면역 기능을 강화할 수 있어요. 마늘은 소량으로도 유해 물질을 배출하는 특성이 있어, 평소 요리에 쉽게 넣어 섭취할 수 있어 편리하답니다.





간에 좋은 음식 10 가지 ⑧ 올리브오일
집에서 요리할 때 일반 식용유보다는 올리브유를 사용하는 것이 건강에 더 좋다고 알려져 있어요. 올리브유는 간의 담즙 분비를 촉진시켜 변비 개선이나 소화불량 완화에 도움이 됩니다. 또한 일정량을 꾸준히 섭취하면 간으로 가는 유해 물질의 양을 줄여 간의 부담을 덜어줄 수 있어요. 그래서 평소 식용유를 사용했다면, 올리브유로 바꿔보는 건 어떨까요?
간에 좋은 음식 10 가지 ⑨ 두부
간이 나쁘다고 단백질을 많이 섭취하라는 말을 들어본 적이 있을 거예요. 두부는 단백질이 풍부한 식품으로, 간세포가 손상되었을 때 재생하는 데 큰 도움이 됩니다. 두부는 모든 연령층에서 위장 기능이 좋지 않은 사람들도 소화 걱정 없이 안심하고 먹을 수 있는 음식이에요. 
두부를 활용해 찌개나 반찬을 자주 만들어 먹으면, 풍부한 단백질이 간을 튼튼하게 해줄 거예요. 또한 두부에 포함된 레시틴 성분은 LDL, 즉 해로운 콜레스테롤 수치를 낮추는 데 도움이 된다고 알려져 있습니다.
간에 좋은 음식 10 가지 ⑩ 칡
칡은 간에 좋은 식품으로, 카테킨이 풍부하게 들어 있어요. 카테킨은 지방산이 활성산소와 결합해 생성되는 유해 물질인 과산화지질이 간에서 생기는 것을 예방하고, 알코올로 손상된 간 기능을 회복시키는 데 도움을 준다고 합니다. 카테킨은 우려내는 시간이 길수록 더 많이 나오는 특징이 있어, 칡즙을 만들어 차로 우려 마시는 경우가 많아요. 칡즙은 다양한 효능이 있어 많은 사람들이 자주 섭취한다고 알려져 있습니다. 
간에 좋은 음식 10가지를 알아봤는데, 간 건강에 대해 더 신경 써야겠다는 생각이 든다고 하셨네요. 간 건강은 술뿐만 아니라 다양한 요소가 영향을 미치기 때문에 꾸준히 관리하는 것이 중요해요.
댓글