3대 암 중 하나로 빠르게 증가하고 있지만, 폐암은 다른 암에 비해 원인이 비교적 잘 알려져 있는 편입니다. 원인을 잘 알면 이를 피하고 평소에 신경 쓰는 만큼 발병 확률을 낮출 수 있겠죠. 또 초기 증상을 미리 알아두는 것도 매우 중요합니다. 오늘은 폐암의 초기 증상에 대해 살펴보겠습니다.






폐암이란?
폐암은 폐에 생기는 악성 종양을 말합니다. 폐에서 직접 발생하는 원발성 폐암과, 다른 장기에서 전이되어 온 전이성 폐암으로 나눌 수 있어요. 전 세계적으로 매년 약 130만 명이 폐암으로 사망하는데, 이는 암으로 인한 사망 원인 중 가장 높은 비중을 차지하고 있습니다.
폐암의 원인
폐암의 원인 ① 흡연
폐암의 주요 발병 원인은 흡연입니다. 담배에는 많은 유해 물질과 암을 유발하는 성분들이 포함되어 있는데, 흡연자는 비흡연자에 비해 폐암 위험이 15배에서 80배까지 높아집니다. 특히 흡연량이 많거나, 어린 나이에 흡연을 시작했거나, 흡연 기간이 길수록 위험도는 더욱 커지게 됩니다.
폐암의 원인 ② 미세먼지
미세먼지는 WHO(세계보건기구)에서 지정한 1급 암 유발 물질입니다. 미세먼지에는 여러 암 유발 성분이 포함되어 있으며, 미세먼지 농도가 높은 지역에서는 폐암 발생 위험도 더 높다는 보고가 있습니다.






폐암의 원인 ③ 중금속 노출
중금속 노출도 석면과 마찬가지로 주로 직업상 노출되는 경우가 많습니다. 알루미늄 생산이나 주물업 등 특정 직종에 종사할 경우 폐암 위험이 증가합니다.
폐암의 원인 ④ 석면 노출
석면은 주로 직업상 노출되는 경우가 많습니다. 예전 건축물에 많이 사용되었으나, 현재는 암을 유발하는 성분으로 알려져 있어 다룰 때 각별한 주의가 필요합니다. 석면을 설치하거나 철거할 때 가루가 날리는데, 이 석면에 반복적으로 노출되면 오랜 잠복기(10~35년)를 거쳐 폐암이 발생할 수 있다고 알려져 있습니다.
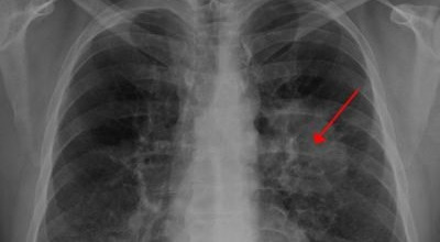
폐암 초기증상
폐암 초기증상 ① 체중감소
폐암 초기 증상으로는 다른 암과 마찬가지로 입맛 감소와 전신 쇠약감이 나타날 수 있습니다. 체중이 갑자기 줄어들기도 하는데요, 최근 식사량을 줄이거나 식단 관리를 하지 않았음에도 평소 체중의 5% 이상이 감소했다면 검진을 받아보는 것이 좋습니다.
암세포는 정상세포보다 빠른 성장 속도로 많은 에너지를 필요로 하기 때문에, 암의 진행에 따라 체중 감소가 나타날 수 있습니다. 특별한 원인 없이 6개월 내에 10kg 이상, 또는 체중의 10% 이상이 줄어들었다면 폐암 초기 증상일 가능성이 있습니다.






폐암 초기증상 ② 기침
기침은 폐암 초기 증상 중 가장 흔하게 나타나는 증상입니다. 폐암 환자의 약 75%가 잦은 기침을 겪는데, 감기와 구분이 어려워 대수롭지 않게 넘기는 경우가 많으니 주의가 필요합니다. 따라서 기침이 오랜 시간 지속된다면 꼭 진찰을 받아보시길 권합니다.
폐암 초기증상 ③ 쉰 목소리
성대를 조절하는 신경이 폐와 기관 사이 공간을 지나가는데, 암이 진행되면서 이 신경을 침범하면 성대 마비 증상이나 목소리가 쉬는 현상이 나타날 수 있습니다.
폐암 초기증상 ④ 가슴 통증
폐암 초기 증상 중 하나로 가슴 통증이 있습니다. 폐암 환자의 약 3분의 1 정도가 흉통을 호소하는데요, 이는 폐 가장자리 부분에 종양이 생기고, 그 종양이 암세포를 생성하며 흉벽과 흉막에 닿아 통증을 유발하기 때문입니다.
흉통은 여러 원인으로 발생할 수 있지만, 폐암에서 기인한 흉통은 지속적으로 쿡쿡 찌르는 듯한 느낌과 함께 가벼운 통증이 아닌 둔탁한 통증이 동반되는 경우가 많으니 주의가 필요합니다.






폐암 초기증상 ⑤ 호흡곤란
폐암 초기 증상 중 하나로 호흡곤란이 나타날 수 있습니다. 폐암 환자의 약 50%가 숨이 차다고 느낀다고 알려져 있어요. 이는 암 덩어리가 커져 숨이 가빠지는 경우도 있지만, 폐암으로 인한 폐 허탈, 상기도 폐색, 흉막 삼출 등이 호흡곤란을 일으키기도 합니다. 평소와 달리 숨이 차고, 숨을 들이쉬거나 내쉴 때 쌕쌕거리는 소리가 난다면 폐암 초기 증상을 의심해 볼 필요가 있습니다.
폐암 초기증상 ⑥ 혈담
폐암 초기 증상으로는 혈담이 있습니다. 혈담은 쉽게 말해 가래에 피가 섞여 나오는 경우를 뜻합니다. 폐암이 폐 중앙부 기관지 근처에 위치할 경우 나타나는 혈담은 폐암 환자의 25% 이상이 경험하는 증상입니다. 만약 기침할 때 심한 가래나 혈담이 섞여 나온다면 즉시 병원을 방문하시길 권합니다.






폐암에 좋은 음식
폐암에 좋은 식품 - 해조류
해조류는 폐암 예방뿐 아니라 폐암 치료에도 도움을 줄 수 있는 매우 훌륭한 식품입니다. 미역과 다시마 같은 해조류에는 후코이단이라는 성분이 풍부하게 들어 있어 폐암뿐 아니라 우리 몸 곳곳에서 발생할 수 있는 여러 암세포 예방에 효과적입니다. 이미 암세포가 생겼더라도 종양의 전이를 막고 예방하는 역할도 합니다.
폐암에 좋은 식품 - 율무
율무는 폐 기능을 활성화시키고, 흡연으로 생긴 가래를 줄여주며, 니코틴 해독에도 도움을 주는 폐 건강에 좋은 음식입니다.
폐암에 좋은 식품 - 단백질
수술 후 상처 회복에 도움이 되고, 수술 중 손실된 혈액 성분을 보충해 체력 회복과 빈혈 예방에 효과적입니다. 쇠고기, 닭고기, 생선, 계란, 두부 등이 대표적이며, 매 끼니 2~3가지씩 다양하게 섭취하는 것이 좋습니다. 우유, 요구르트, 치즈 등도 도움이 됩니다.






폐암에 좋은 식품 - 생강
생강은 니코틴 해독에 도움을 주고, 기관지에 쌓인 가래를 제거해주며 폐 세포 재생을 촉진하는 폐 건강에 좋은 음식입니다. 특히 생강에 함유된 쇼가올이라는 성분은 암 확산을 막는 효과가 있으며, 쥐를 대상으로 한 실험에서 폐암 전이 위험을 줄이는 효과가 확인되었다고 합니다.
폐암에 좋은 식품 - 브로콜리
브로콜리의 녹색 색소인 클로로필은 혈전과 동맥경화를 예방하고 혈액순환을 원활하게 도와줍니다. 또한 강력한 항암 효과로 폐암에 좋은 음식으로 꼽힙니다.
폐암에 좋은 식품 - 당근
당근에 풍부한 베타카로틴은 점막을 보호하고, 비타민이 많아 항산화 작용을 돕습니다. 또한 당근에 들어있는 클로로겐산이라는 식물성 화학물질은 종양이 성장하는 데 필요한 혈액 공급을 차단해 폐암 진행을 억제하는 데 도움을 줍니다.
폐암에 좋은 식품 - 토마토
토마토의 붉은색을 내는 라이코펜은 강력한 항암 작용을 하며, 대기오염으로부터 폐를 보호하고 폐 기능을 향상시키는 데 도움을 줍니다. 라이코펜은 종양 성장을 억제하고 폐암 세포 분열을 방해하는 역할을 하는데, 라이코펜이 풍부한 음식을 섭취한 사람들은 폐암 발병률이 낮았다는 연구 결과도 있습니다.
폐암에 좋은 식품 - 비트
비트는 폐 기능을 탁월하게 개선하는 화합물을 함유하고 있습니다. 특히 비트에 많이 들어있는 질산염은 혈관을 깨끗하게 하고 혈액 순환을 원활하게 도와주며, 혈압을 낮추고 산소 흡수를 원활하게 하는 데 큰 역할을 합니다. 미국의 한 연구소에서는 비트 뿌리로 만든 보충제를 폐암 환자에게 투여한 결과, 환자들의 전반적인 체력과 폐 기능이 향상된 것으로 나타났습니다.
폐암에 좋은 식품 - 복숭아
복숭아는 몸속 니코틴 분해를 돕고 손상된 폐 조직을 회복시키는 데 효과적인 폐 건강에 좋은 음식입니다.
폐암에 좋은 식품 - 생강
생강도 폐암에 좋은 식품 중 하나입니다. 항암 치료로 인한 구역질과 토악질 증상을 완화해주고, 몸속 해독 작용을 통해 면역력을 강화시키며 기관지 질환에도 좋은 효능을 보입니다. 특히 생강에 들어있는 진저롤이라는 성분은 암 세포 증식을 억제하고 폐 세포 재생을 돕기 때문에 폐암 예방과 증상 완화에 효과적입니다.
지금까지 폐암 초기증상 6가지와 4가지 원인에 대해서 자세히 알아보았습니다. 읽어주셔서 감사합니다.
댓글