녹내장은 당뇨망막병증이나 황반변성 등과 함께 실명의 주요 원인 중 하나로 잘 알려져 있습니다. 녹내장은 눈에서 받은 시각 정보를 뇌로 전달하는 데 중요한 역할을 하는 시신경이 서서히 손상되는 질환으로, 초기증상을 인지하고 조기에 대응하는 것이 무엇보다 중요합니다. 오늘은 녹내장 초기증상과 원인에 대해 살펴보겠습니다.


녹내장이란?
녹내장(綠內障)은 한자를 풀이하면 안구에 녹색의 장애가 생긴다는 의미를 지닙니다. 녹내장은 눈으로 들어온 빛을 뇌로 전달하는 시신경에 이상이 발생해 시야 장애를 일으키는 질환으로, 방치할 경우 실명에 이를 수 있는 위험한 병입니다. 녹내장은 안압이 높아 발생하는 경우가 많지만, 안압이 정상이어도 변동 폭이 크거나 시신경으로 가는 혈류가 원활하지 않은 경우, 또는 유전적 요인에 의해 발생하기도 합니다. 최근에는 안압이 정상임에도 녹내장이 나타나는 사례가 점점 늘고 있는 추세입니다.
녹내장 초기증상
녹내장 초기증상 ① 무증상
녹내장은 흔히 소리 없는 시력 도둑이라고 불릴 만큼 초기에는 특별한 증상이 없는 경우가 많습니다. 이로 인해 안과 검진 중 우연히 진단받는 경우가 대부분입니다.


녹내장 초기증상 ② 메스꺼움
녹내장이 발생하면 메스꺼움과 함께 구토 증상이 동반되기도 합니다.


녹내장 초기증상 ③ 안구 충혈
녹내장은 안구 통증이나 두통뿐만 아니라 시신경 손상으로 인해 눈 충혈을 유발할 수 있습니다. 이러한 충혈이 지속된다면 녹내장을 의심해볼 필요가 있습니다.


녹내장 초기증상 ④ 시력 저하
녹내장은 대체로 증상이 뚜렷하지 않고 서서히 시력이 감소하는 특징이 있습니다. 어느 순간 물체가 흐릿하게 보이거나 시력이 떨어진 것처럼 느껴진다면 녹내장을 고려해볼 수 있습니다. 증상이 갑자기 심해질 경우 급성 폐쇄각 녹내장일 가능성이 있으며, 서서히 진행된다면 만성 개방각 녹내장일 수 있습니다. 만성 개방각 녹내장은 자각하기 어려워 치료 시기를 놓치기 쉬우므로, 원인을 알 수 없는 눈 통증이나 두통이 잦다면 검사를 받아보는 것이 좋습니다.


녹내장 초기증상 ⑤ 안통과 두통
녹내장이 진행되면 참기 힘든 눈 통증과 함께 두통이 나타나기도 합니다.


녹내장 원인
안압은 방수라 불리는 눈 속 액체의 생성과 배출 균형에 의해 결정됩니다. 방수는 섬모체라는 조직에서 생성되어 홍채 뒤쪽을 지나 전방으로 이동한 뒤, 섬유주를 통해 슈렘관을 거쳐 눈 바깥 혈관으로 배출됩니다. 이러한 방수의 순환으로 눈에는 일정한 압력이 유지되며, 이를 안압이라고 합니다. 다음은 녹내장의 주요 원인입니다.
① 60세 이상으로 나이가 많은 경우
② 고혈압, 심장병, 당뇨, 겸상 적혈구 빈혈 등 특정 질환을 앓고 있는 경우
③ 중심 각막이 얇은 경우
④ 고도 근시 또는 원시
⑤ 눈 외상이나 특정 안과 수술을 받은 이력
⑥ 코르티코스테로이드, 특히 점안제를 장기간 사용한 경우
⑦ 높은 안압
⑧ 민족적 요인(아프리카인, 아시아인)
⑨ 가족력
녹내장 치료법
녹내장 치료법 ① 약물치료
녹내장은 대부분 약물치료를 기본으로 합니다. 현재 다양한 점안제가 사용되고 있으며, 녹내장의 유형과 중증도, 안압 수치에 따라 처방됩니다. 한 가지 안약의 효과가 부족할 경우 여러 종류를 병용하기도 합니다. 안약은 한 번에 한 방울씩, 최소 5분 이상의 간격을 두고 사용하는 것이 부작용을 줄이는 데 도움이 됩니다. 증상이 호전되지 않는다고 임의로 중단하지 말고, 장기간 꾸준히 사용하는 것이 중요합니다.


녹내장 치료법 ② 수술
수술은 약물이나 레이저 치료로 효과를 보지 못했을 때 시행합니다. 방수가 눈 밖으로 빠져나가도록 하는 수술이나, 섬유주를 절개해 방수 배출을 원활하게 하는 수술 등이 있습니다. 이러한 수술은 증상을 완전히 없애기보다는 안압을 낮추고 질환의 진행을 늦추기 위한 목적입니다. 수술 방법은 지속적으로 발전하고 있지만 합병증이나 재수술 가능성이 있으며, 수술 후에도 정기적인 관리가 필요합니다.


녹내장 치료법 ③ 레이저 치료
레이저 치료에는 두 가지 방법이 있습니다. 하나는 레이저로 홍채에 작은 구멍을 만들어 방수 흐름을 개선하는 방법으로, 주로 폐쇄각 녹내장에 효과적입니다. 다른 하나는 섬유주에 레이저를 조사해 방수 배출을 촉진하는 방법으로, 일부 개방각 녹내장에 적용됩니다. 레이저 치료는 통증이 거의 없어 외래에서 시행할 수 있습니다.


녹내장 예방법
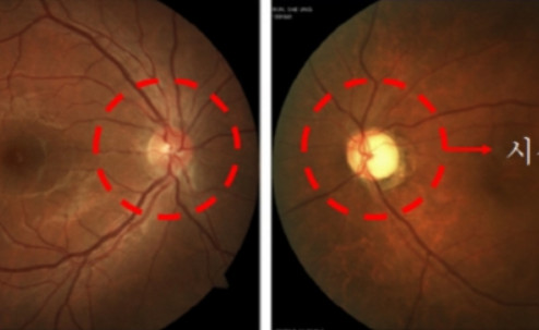
녹내장은 증상이 쉽게 드러나지 않기 때문에 예방과 조기 발견이 중요합니다. 특별한 예방법은 없지만, 정기적인 안과 검진을 통해 조기에 발견하는 것이 가장 효과적입니다. 시신경의 형태를 확인하는 검사가 도움이 되며, 건강검진에서 녹내장 의심 소견이 있다면 정밀 검사를 받는 것이 좋습니다. 특히 40세 이상이라면 1년에 한 번 정기적인 눈 검진을 권장합니다.
지금까지 녹내장 초기증상과 원인에 대해 알아보았습니다. 읽는 분들께 도움이 되는 정보가 되었기를 바라며 이만 마치겠습니다. 감사합니다.
댓글