녹내장은 당뇨망막병증이나 황반변성 등과 함께 실명의 주요 원인 중 하나로 알려져 있습니다. 녹내장은 눈에서 받은 시각 정보를 뇌로 전달하는 데 중요한 역할을 하는 시신경이 퇴화하는 질환으로 초기증상을 알고 조기에 대처하는 것이 무엇보다 중요합니다. 오늘은 녹내장 초기증상 및 원인에 대해서 알아보도록 하겠습니다.



녹내장이란?
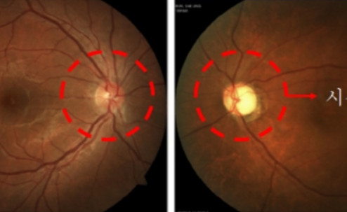
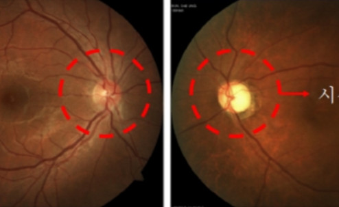
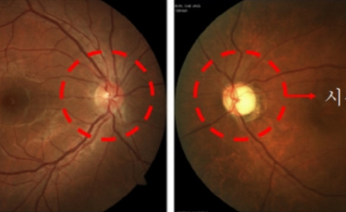
녹내장(綠內障)이란 한자를 풀면 안구에 녹색 장애가 생긴다는 것을 뜻합니다. 녹내장은 눈에 들어온 빛을 뇌로 전달하는 시신경에 이상이 생겨 시야에 장애가 생기는 질환으로 방치하면 실명에 이르는 무서운 병입니다. 녹내장은 높은 안압 때문에 발생할 수도 있지만, 안압이 정상이더라도 안압의 변동폭이 크거나 시신경으로 가는 혈액순환이 원활하지 않을 경우, 유전적 이상 등으로 발생하기도 합니다. 녹내장은 주로 안압이 높아져 시신경이 손상됐을 때 발생하는 것으로 알려져 있으며 요즘은 안압이 정상인데도 녹내장이 나타나는 경우가 많아지고 있습니다.
녹내장 초기증상
녹내장 초기증상 ① 무증상
녹내장은 흔히 소리 없는 시력도둑이라고 불리기 때문에 별다른 증상이 없는 경우도 많습니다. 때문에 안과에서 우연히 녹내장 진단을 받게 되는 경우가 대부분입니다.



녹내장 초기증상 ② 메스꺼움
녹내장이 발생하면 메스꺼움과 구토가 동시에 일어날 수 있습니다.



녹내장 초기증상 ③ 안구 충혈
녹내장은 안구 통증과 두통뿐만 아니라 시신경 손상으로 인한 눈 충혈을 유발할 수 있는데, 이러한 눈 충혈이 지속된다면 녹내장을 의심해봐야 합니다.



녹내장 초기증상 ④ 시력 저하
녹내장은 대개 무증상인 경우가 많고 점진적으로 시력이 떨어지는 것이 특징입니다. 어느 날 물체가 흐릿하게 보이고 시력이 떨어진 것 같다고 느껴진다면 녹내장을 의심해 볼 수 있습니다. 녹내장 증상이 갑자기 심해지면 급성 폐쇄각 녹내장의 가능성이 있고, 증상이 서서히 진행된다면 만성 개방각 녹내장의 가능성이 있습니다. 만성 개방각 녹내장의 경우 인지하기 어렵고 치료 시기를 놓치기 어려우므로 이유를 알 수 없는 눈 통증이나 두통 증상이 잦다면 진단을 받아보는 게 좋습니다.



녹내장 초기증상 ⑤ 안통과 두통
녹내장 증상이 발생하면 견딜 수 없는 눈 통증과 두통 등의 증상이 나타나기도 합니다.
녹내장 원인
안압은 방수라 불리는 눈을 순환하는 액체의 생성과 배출의 균형에 의해 결정됩니다. 방수는 섬모체라는 조직으로 만들어지는데, 섬모는 홍채 뒤쪽을 지나 전방에 이르고 섬유주를 통해 슈렘관에서 배출되어 눈 바깥쪽 혈관으로 흐르는 경로를 순환하게 됩니다. 이러한 방수 순환으로 인해 눈에 거의 일정한 압력이 발생하고 안구의 모양이 유지되며 이러한 압력을 안압이라고 합니다. 다음은 녹내장의 원인들입니다.
① 60세 이상: 녹내장은 나이가 들수록 더 흔해집니다. 
② 고혈압, 심장병, 당뇨, 겸상 적혈구 빈혈 등 특정 질환을 앓고 있는 경우
③ 중심부에 얇은 각막이 있는 경우
④ 극도의 근시와 원시 
⑤ 눈 부상 및 특정 유형의 눈 수술을 받은 경우
⑥ 코르티코스테로이드(특히 점안제)의 장기간 사용 
⑦ 높은 안압 
⑧ 민족성(아프리카인, 아시아인)
⑨ 가족력



녹내장 치료법
녹내장 치료법 ① 약물치료
녹내장은 약물치료가 기본이 되는 경우가 많습니다. 다양한 효과가 있는 점안약이 현재 판매되고 있으며, 녹내장의 종류, 중증도, 안압 높이 등에 따라 처방되고 있습니다. 한 종류의 안약이 효과가 적다고 판단될 경우에는 다양한 안약과 병용하여 처방하고 있습니다. 안약은 한 번에 한 방울씩 5분 이상 텀을 두고 넣는 것이 부작용을 최대한 줄이는 방법입니다. 그리고 안압을 낮추는 음료도 있지만, 전신의 부작용이 강하고 이너웨어가 불가능한 경우도 있습니다. 안약 투여는 증상이 호전되지 않는다고 그만두지 말고 장기적으로 인내심을 가지고 지속하는 것이 중요합니다.
녹내장 치료법 ② 수술
수술은 약물치료나 레이저치료가 효과가 없을 때 하는 치료로, 방수가 눈 밖으로 스며나게 하는 수술과 섬유주를 잘라 방수를 배출하기 쉽게 하는 수술 두 가지가 있습니다. 그리고 방수 배출을 좋게 하기 위한 장치도 개발되고 있습니다. 이러한 수술방법은 경우에 따라 선택하는 것으로 수술이 증상을 완화시키지는 않지만 안압을 낮추고 병의 진행을 막기 위해 이루어 집니다. 녹내장의 수술방법은 해가 갈수록 향상되어 치료결과는 크게 개선되었으나 합병증이 있을 수 있으며 수술 후 재수술이 필요할 가능성이 있습니다. 그리고 안압이 잘 내려가더라도 정기적인 관리가 필요합니다.
녹내장 치료법 ③ 레이저 치료
레이저 치료는 크게 두 가지 방법이 있습니다. 하나는 레이저를 이용해 홍채에 구멍을 뚫어 눈의 방수 흐름을 바꾸는 것인데, 이 방법으로 많은 폐쇄각 녹내장을 치료할 수 있습니다. 다른 하나는 섬유주에 방수의 배출을 촉진하는 레이저 치료입니다. 이는 일부 개방각 녹내장에 효과가 있습니다. 레이저 치료의 통증은 매우 가벼워서 외래로 할 수 있습니다.
녹내장 예방법
녹내장 증상은 발견이 어렵기 때문에 예방이 중요합니다. 녹내장은 특별한 예방책이 있는 것은 아니지만 조기 발견이 가장 중요하기 때문에 항상 정기적인 검진을 받는 것이 무엇보다 중요합니다. 조기 진단을 위해서는 시신경의 형태를 확인하는 것도 중요합니다. 건강검진 중 녹내장의 가능성을 반영한 소견이 있다면 녹내장 정밀검진이 필요합니다. 따라서 정기적으로 눈 검진을 받는 것이 중요하며 특히 40세 이상의 경우 1년에 한 번 정기 검진을 받는 것이 좋습니다.
지금까지 녹내장 초기증상 및 원인에 대해서 알아보았습니다. 읽으시는 분들께 유익한 내용이 되었기를 바라며 마치겠습니다. 감사합니다.
댓글